370 Lexington Ave, New York, NY 10017

Smile Gallery

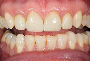
The image shows a close-up of a person s teeth with noticeable discoloration and staining, particularly on the front teeth.

Before

The image shows a close-up of an individual s teeth, with the person smiling and displaying their dental implants.

After

Dental implant with a pink gum line.

Before

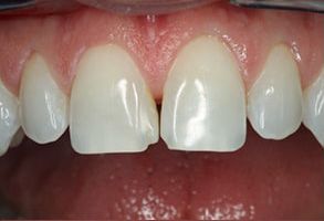
The image shows a close-up of a person s teeth, with the upper teeth prominently visible.

After

A close-up image of a person s mouth with teeth, showcasing a smile.

Before

The image shows a close-up of a person s mouth with teeth, displaying a wide smile.

After

Dental implant with a natural-looking crown in place, showcasing the result of dental restoration.

Before

The image shows a close-up of a person s teeth, focusing on the front teeth and part of the upper lip.

After

The image shows a close-up of a person s teeth with visible signs of decay and staining, indicating the need for dental care.

Before

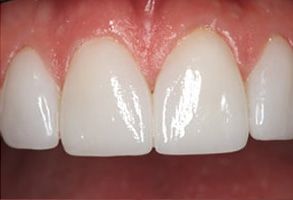
The image displays a close-up of a person s teeth with a focus on the front teeth, which are prominently white and well-maintained.

After

An image of a person s teeth with a focus on dental care or cosmetic dentistry.

Before

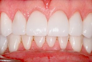
The image shows a close-up of a person s teeth, with the focus on a set of white, straight teeth.

After

An image of an individual s mouth showing a set of teeth with a gap between the front teeth, some discoloration, and a partial denture on the lower right side.

Before

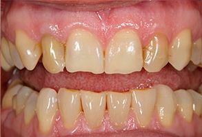
The image displays a close-up of a person s teeth, showcasing a set of white upper teeth with a visible yellowish stain on the lower front teeth.

After